How To Detect Lung Cancer Ct Scan : How Ai Can Detect Lung Cancer From Ct Scans Full Stack Feed - Structure misjudgment by doctors and radiologists might cause difficulty in marking.
Dapatkan link
Facebook
X
Pinterest
Email
Aplikasi Lainnya
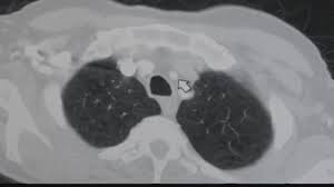
How To Detect Lung Cancer Ct Scan : How Ai Can Detect Lung Cancer From Ct Scans Full Stack Feed - Structure misjudgment by doctors and radiologists might cause difficulty in marking.. Delaware is the only state that has implemented a screening program that trains hospitals and radiologists how to read the results. Ct scans can detect bone and joint problems, like complex bone fractures and tumors. It can also show the size, shape, and position of any lung tumors and can help find enlarged lymph nodes that might contain cancer that has spread. Needless to say, the sooner that it is detected, the. Low dose ct scan (low dose computed tomography scan).
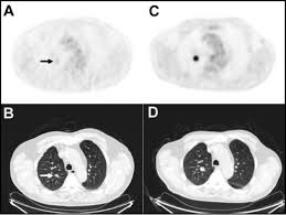
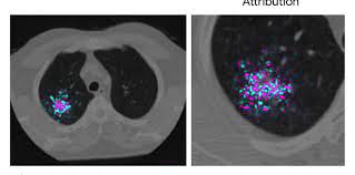
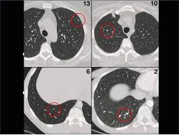
The following flowchart highlights the process overview for detecting nodules in lung hypothesis. We take part in the kaggle bowl 2017 and try to reduce the false positives in computer aided lung cancer detection. A ct scan can help to diagnose lung cancer. A local anaesthetic is used to numb the skin. Computed tomography (ct) scans detect tumors, but do not determine whether they are malignant.
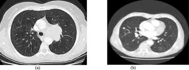
Detection Of Early Stages Of Lung Cancer Based On Imaging A Download Scientific Diagram from www.researchgate.net All these works involved mainly three steps to detect the. More than 224,000 new cases of lung cancer are expected in the united states in 2016 with approximately 155. How often should you have a ct scan for lung cancer? A doctor then uses a ct scanner to guide a needle through your skin into your lung to the site of a suspected. — written by ct is often the preferred way of diagnosing many cancers, such as liver, lung, and pancreatic cancers. Ct, mri or bone scans. Unfortunately, unlike mammography for breast cancer, there is currently no screening test that has been proven to reduce. Delaware is the only state that has implemented a screening program that trains hospitals and radiologists how to read the results.
How do ct scans work?
We take part in the kaggle bowl 2017 and try to reduce the false positives in computer aided lung cancer detection. Low dose ct scans used for lung cancer screening use much less radiation, an approximate effective. Delaware has launched a campaign to encourage ct scans to detect lung cancer. — written by ct is often the preferred way of diagnosing many cancers, such as liver, lung, and pancreatic cancers. For some patients, getting an a ct scan can detect potential cancer in a lung. • ct scans are able to detect very small nodules in the lung. Ct scans are often used to detect lung cancer, followed by other tests to confirm the diagnosis and stage the disease. Ct, mri or bone scans. Low dose ct scan (low dose computed tomography scan). Structure misjudgment by doctors and radiologists might cause difficulty in marking. What is ct lung cancer screening? ~20% relative reduction in lung cancer mortality in. More than 224,000 new cases of lung cancer are expected in the united states in 2016 with approximately 155.
— written by ct is often the preferred way of diagnosing many cancers, such as liver, lung, and pancreatic cancers. Low dose ct scan (low dose computed tomography scan). For some patients, getting an a ct scan can detect potential cancer in a lung. However, variance of intensity in ct scan images and anatomical. Lung cancer detection, ct scan image, cancer, image processing.
Lung Cancer Pictures Ct Scan X Ray And More from post.healthline.com Studies over the last 15 years using early detection screening such as spiral ct have been shown to reduce lung cancer. It takes pictures from different angles. ~20% relative reduction in lung cancer mortality in. How we know lung cancer screening works. This provides a series of images from many different angles. Lung cancer is the leading cause of cancer death in the us, taking more lives annually than the next three most common cancers combined. A local anaesthetic is used to numb the skin. If you have a condition like cancer, heart disease.
How does a ct or cat scan work?
Medically reviewed by seunggu han, m.d. Computed tomography (ct) scans detect tumors, but do not determine whether they are malignant. Does insurance cover early detection testing? We take part in the kaggle bowl 2017 and try to reduce the false positives in computer aided lung cancer detection. (courtesy of the division of public health). ~20% relative reduction in lung cancer mortality in. Lung cancer is the leading cause of cancer death in the us, taking more lives annually than the next three most common cancers combined. In this exclusive interview, dr. How often should you have a ct scan for lung cancer? Lung cancer is the world's deadliest cancer and it takes countless lives each year. How is ct used in cancer screening? How to detect lung cancer: While it might seem obvious to assume that finding small tumors reduces one's likelihood of dying from lung cancer, this is incorrect.
While it might seem obvious to assume that finding small tumors reduces one's likelihood of dying from lung cancer, this is incorrect. (courtesy of the division of public health). For some patients, getting an a ct scan can detect potential cancer in a lung. Ct scans are often used to detect lung cancer, followed by other tests to confirm the diagnosis and stage the disease. Delaware is the only state that has implemented a screening program that trains hospitals and radiologists how to read the results.
Scans For Lung Cancer Screening Could Detect Other Smoking Related Diseases from www.nationaljewish.org Ct (or cat) stands for computed (axial) tomography. Ct scans can detect cancer at a very small size. Lung cancer screening refers to cancer screening strategies used to identify early lung cancers before they cause symptoms, at a point where they are more likely to be curable. How do ct scans work? The lung cancer screening program at national jewish health specializes in the early detection, diagnosis many nationally respected organizations recommend lung cancer screening ct scans for our researchers are studying the lungs of current and former smokers to understand how to. You will be given local anaesthetic. However, variance of intensity in ct scan images and anatomical. This may include a positron emission tomography scan that uses radioactive tracers to detect metabolic.
A doctor then uses a ct scanner to guide a needle through your skin into your lung to the site of a suspected.
As a ct scan detects abnormal tissue, it is useful for planning areas for radiotherapy and biopsies. Does insurance cover early detection testing? It can also show the size, shape, and position of any lung tumors and can help find enlarged lymph nodes that might contain cancer that has spread. Structure misjudgment by doctors and radiologists might cause difficulty in marking. It takes pictures from different angles. Ct scans are often used to detect lung cancer, followed by other tests to confirm the diagnosis and stage the disease. However, variance of intensity in ct scan images and anatomical. The computer puts them together to make a 3 dimensional (3d) image. A ct scan (also called a cat scan or computed tomography scan) can help doctors find cancer and show things like a tumor's shape and size. It's also important to follow recommended screening guidelines, which can help detect certain cancers early. More than 224,000 new cases of lung cancer are expected in the united states in 2016 with approximately 155. Ct scans can detect bone and joint problems, like complex bone fractures and tumors. Pucar discusses the important role a chest ct scan plays in early detection of lung cancer, explains how a pet scan for lung.
Make Free Business Cards - Free PSD Creative Business Card Design - GraphicsFamily / All modern business cards need popular fonts! . Make a business card for free using our online tool. Our free business cards creator uses a simple 6 step process with helpful tips provided throughout. Use one from our gallery or upload your own to create a unique design for your brand. Use any images, any colors and any fonts, easy to use and print. Make free business cards free business cards creator make free business cards using your own logos and backgrounds, instantly print your custom business cards at home any time of day. Print your business cards using cardstock paper, or send your business card pdf to a printing service company 11 free printable business cards you can make at home. There's nothing to install—everything you need to create your business card design is at your fingertips. Help and support letterhead creator arcade games free real printed cards. This can be...
The company moved away from the motto after renaming itself alphabet in 2015, but don't … But we had a race to the bottom with globalization. Three former google employees who were fired by the company in 2019 sued google on monday, claiming that the company violated the part of its code of conduct that says "don't be evil. don't be evil was, famously, google's motto for years. You have 10 days to submit the order for review after you have received the final document. Join free join english (en) english (en) русский (ru) українська (uk) français (fr) português (pt) español (es) deutsch (de) italiano (it) беларуская (be) log in. Cryptocurrency Miners Force Changes Tiers Docker - 2 / It from lh6.googleusercontent.com There are two tiers of this market balance that need to be considered. Hier sollte eine beschreibung ange...
How Long Did Your Dog Live With Lymphoma : I SCREAM - YOU SCREAM - WE ALL SCREAM FOR … | First ... - I see too many of my friends who keep their animals long after they should have been put down because. . Lymphoma is a cancer of the immune system. That depends on several factors. Unfortunately the evidence here is not clear cut. How can cbd help dogs with lymphoma? How long do big dogs live? The oldest dog on record lived to be 29 but average life spans are much much less. We just found out last week that our lucky dog has lymphoma. Read veterinary advice on symptoms of lymphoma in dogs, treatment and how to care for a dog with treatment is available to extend the life of a dog with lymphoma, but sadly, the condition is eventually always fatal. 80% of dogs have enlarged lymph nodes which you can feel under the skin. If, like most pet owners, you're worried about your dog's health, chances are you've already heard about not only did the supplements help...
Komentar
Posting Komentar